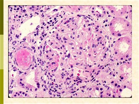
Мембрано-пролиферативный гломерулонефрит - през...
Membrío - Wikiwand
Бомбер Реймс оверсайз
Как вам голос? Выложить полностью? Подпишись💪🏻 ...
MEMENTO, Варна
Ещё один крутой трек "Sen" #Мембрано #Membrano ...
Memento - Официална страница в Grabo.bg
Мембрана - YouTube
Хотите полностью? Подпишись 💪🏻 #Мембрано #Membr...
MEMO
Мембраны - YouTube
Мементо | Ортограф - антикварна книжарница
Научно-производственная фирма "Экофарм" - Виног...
Мембрано-Камерный фильтр-пресс
Мембранна гідроізоляція терас — Agro-Ukraine
Работа пресса мембрано вакумного. - YouTube
МЕМЕНТО КАПСУЛИ ЛЕКОВИТА